Rapports de cas

Chapitre II.1 : Film sur les larmes
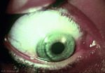
Sécheresse oculaire

Lentilles de contact souples avec zone déshydratée

Sécheresse et lentilles cornéennes

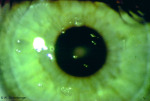
Sécheresse oculaire avec bouchon ponctuel (fermeture du canal lacrymal)

Sécheresse oculaire avec bouchon ponctuel (occlusion du canal lacrymal)

Prise de punctum

Chapitre II.3 : Paupières
Inflammation de la paupière (blépharite)

Inflammation de la paupière (blépharite) Grade 1

Inflammation de la paupière (blépharite) Grade 4

Inflammation allergique de la paupière cutanée (eczéma de contact) causée par une intolérance aux produits d’entretien des lentilles

Inflammation allergique de la paupière cutanée (œil droit)

Inflammation allergique de la paupière cutanée (œil gauche)

Fermeture incomplète de la paupière

Fermeture incomplète de la paupière (schéma)

Fermeture incomplète de la paupière

Chapitre II.4 : Conjonctive
Conjonctivite papillaire induite par les lentilles cornéennes (CLIPC) de la conjonctive tarsienne supérieure

CLIPC - Grade 4

CLIPC - Grade 4

Kératoconjonctivite épidémique (KCE)

Œil droit : Grade 0

Œil gauche : Grade 4

Conjonctivite induite par les lentilles cornéennes d’origine mécanique

Injection conjonctivale locale Grade 3

Zone sans irritation conjonctive supérieure (même œil)

Kératite ponctuée conjonctivale due à des défauts de bord dans une lentille de contact en hydrogel

Kératite ponctuée conjonctivale

Défaut de bord dans une lentille de contact en hydrogel

Pinguecula

Dessin de pinguecula

Pinguecula proéminente

Ptérygion

Dessin du ptérygion

Ptérygion avec injection

Naevus conjonctival

Nevi à 3 heures

Naevus dans la région limbique à 6 heures

Hyposphagme

Rougeur locale sévère observable dans la position principale de l’œil

Rougeur locale sévère observable lorsque le patient regarde de côté

Pli épithélial conjonctival (CEF)

Tache d’une lentille de contact souple trop serrée

Tache importante avec lambeau épithélial conjonctival (CEF) due au port d’une lentille de contact souple

Chapitre II.5 : La cornée
Kératite ponctuée à 3/9 heures

3/9 heures kératite ponctuée (schéma)

Kératite ponctuée centrale et périphérique de grade 3, confluente à 4 heures

Kératite ponctuée localisée dans le tiers inférieur de la cornée avec dessiccation

Kératite ponctuée localisée avec dessiccation (schéma)

Kératite ponctuée localisée, grade 2

Kératite ponctuée

Kératite ponctuée superficielle et diffuse (schéma)

Kératite ponctuée diffuse, grade 2

Kératite ponctuée centrale due à une lentille de contact rigide immobile (contraignante)

Kératite ponctuée centrale (schéma)

Kératite ponctuée centrale, grade 3, avec empreinte laissée par le bord de la lentille de contact

Coloration cornéenne induite par solution (SICS)

Kératite ponctuée profonde et diffuse (schéma)

Kératite ponctuée de grade 4 due à une réaction toxique

Kératite ponctuée profonde et diffuse due à des réactions toxiques

SICS - distribution diffuse

Le SICS survient souvent en relation avec une kératite ponctuée

Voile alvéolé bulle d’air

Voile alvéolé de bulle d’air (schéma)

Voile alvéolé à bulles d’air, sans lentille

Voile alvéolé de bulles d’air sous les lentilles de contact rigides avec fluorescéine

Voile alvéolé de bulles d’air sous les lentilles de contact rigides

Boules de mucine

Boules de mucine sous lentilles en silicone hydrogel avec lumière blanche

Empreintes de boules de mucine sans lentilles de contact, après coloration à la fluorescéine

Empreintes de corps étrangers sous lentilles cornéennes rigides

Empreinte d’un corps étranger (schéma)

« Marquer » à partir d’un corps étranger

Empreinte d’un cheveu

Impression profonde d’un corps étranger

Lésion arquée épithéliale supérieure (SEAL)

SEAL en lumière blanche

SEAL après avoir été coloré à la fluorescéine

Érosions

Érosion (schéma)

Érosion cornéenne importante

Œdème épithélial

« Halo vision » en cas d’œdème cornéen

Microkystes et vacuoles, grade 3

Stries et plis

Stries et plis, grade 3

Stries individuelles

Œdème stromal (CCC : opacification cornéenne centrale)

CCC prononcé avec des lentilles de contact en PMMA

CCC après avoir retiré les lentilles cornéennes

Néovascularisation

Début de vascularisation vers 12 heures

Lésions cornéennes massives avec néovascularisation de grade 4

Infiltrat stérile (AIK)

AIK (schéma)

Infiltrat périphérique à 6 heures

S' infiltre

CI (schéma)

Infiltrer à 5 heures avec injection limbique typique

Ulcère cornéen

MK (schéma)

Ulcère cornéen central

Kératite dendrite (kératite à virus de l’herpès simplex)

Infection herpétique active avec lésions épithéliales en forme d’arbre

Zone cicatricielle sous-épithéliale après une infection secondaire

Cicatrices consécutives à une kératoconjonctivite épidémique (KCE)

Nummuli central suivant KCE

Nummuli central à fort grossissement

Cicatrices résultant d’un impact traumatique

Cicatrice cornéenne centrale d’origine traumatique en vue latérale

Déchirure cornéenne angulaire à 5 heures avec rides

Cicatrices dans le kératocône

Cicatrices cornéennes avec plis de Descemet dans le kératocône

Cicatrice cornéenne dans le kératocône de grade 4 en vue latérale

Exemple de cas : Cicatrices suite à une kératoplastie pour kératocône

Greffe de cornée avec observation latérale

Cicatrices d’incisions en T 12 mois après la chirurgie (40 fois)

Précipités

Précipite dans une tranche optique

Précipite dans une section optique

Chapitre III.3 : Dépôts
Dépôts lipidiques

Gouttes lipidiques dans le film lacrymal (grossissement de 200 fois avec un microscope endothélial)

Gouttes de lipides sur la face frontale du cristallin

Dépôts de protéines

Dépôt de protéines étendu, grossissement 6 fois, champ sombre

Dépôts de protéines en forme de filet, grossissement 6 fois, fond noir

Boules de mucine

Substances muqueuses (mucines) à la surface d’une lentille en hydrogel (image MEB)

Dépôt à 9 heures dans la zone lenticulaire d’une lentille de contact rigide (+6.0dpt)

Chapitre III.4 : Dépôts
Résidus cosmétiques

Zones hydrophobes sur les lentilles de contact rigides en raison de résidus d’eye-liner

Résidus cosmétiques sur une lentille de contact souple

Décoloration du matériau de la lentille de contact

Dépôt métallique périphérique avec décoloration due à la nicotine, grossissement 50 fois, fond clair

Dépôt central de métal avec décoloration

Infestation fongique

Aspergillus niger, grossissement de 200 fois, fond clair

Aspergillus niger (coupe transversale de la pénétration à travers la lentille de contact)

Aspergillus niger, pénétration dans la matrice du cristallin (image MEB)

Candida albicans à grossissement 12x

Dépôts métalliques

Tache de rouille sur une lentille de contact

Lentille souple, corps étranger métallique avec anneau de rouille

Tache de rouille, 200 fois, contraste d’interférence

Coupe transversale d’une lentille cornéenne à travers une tache de rouille (grossissement de 200 fois)

Dépôt de métal dans la gravure (grossissement 6 fois)

Dépôt de métal, grossissement 50 fois, fond clair

Chapitre III.5 : Dépôts mixtes – Gelée/ Jelly Bumps
Dépôts mixtes – Gelée/ Jelly Bumps

Bosses de gelée sur une lentille de contact hydrophile conventionnelle

Bosses de gelée à un grossissement de 6 fois

Vue de dessus d’une bosse de gelée

Image en coupe d’une bosse de gelée dans une coupe transversale d’une lentille de contact (200 fois)